Scientists identify a new soil amoeba species in Chernevaya taiga

In the Chernevaya taiga, in the south of Western Siberia, scientists from St Petersburg University identified a new soil amoeba species Leptomyxa silvatica n. sp. with colleagues from Tomsk and Novosibirsk.

Scientists identify a new soil amoeba species in Chernevaya taiga
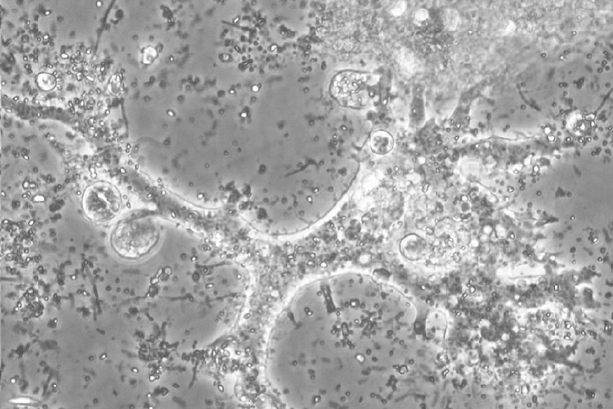
Light microscopy of Leptomyxa silvatica n. sp. Image Credit: St Petersburg State University.

The Chernevaya taiga, often known as the “Siberian jungle,” is a region in Western Siberia with a distinct environment. It is recognized as an ecoregion with exceptional biodiversity by the World Wildlife Foundation’s Global 200 project.

The results of the study were published in the journal Protistology.

The first thing that strikes people about the Chernevaya taiga, according to Alla Lapidus of St Petersburg University’s Department of Cytology and Histology, is the herbaceous plants’ unexpected gigantism. The herbaceous cover of the Chernevaya taiga reaches a height of 1.5–2 meters in the summer, and it is tall enough to conceal a person on horseback in some spots.

I came up with the idea that this plant gigantism is not so much the result of climatic conditions, but is most likely due to the unique properties of the soil microbiota. When this phenomenon is well explained, the discovery is most likely to find application in agriculture. We have already found some evidence to support this hypothesis.”

Alla Lapidus, Study Principal Investigator and Professor, Department of Cytology & Histology, St Petersburg University

Professor Lapidus further said that the Chernevaya taiga project is an interdisciplinary research project that Lapidus is working on with collaborators from National Research Tomsk State University.

Scientists from the Russian Academy of Agricultural Sciences’ All-Russian Research Institute for Agricultural Microbiology, the Siberian Branch of the Russian Academy of Sciences’ Institute of Molecular and Cellular Biology, and the Siberian Branch of the Russian Academy of Sciences’ Central Siberian Botanical Garden are all involved in the project.

The researchers are working in the south of Western Siberia, a location with distinct natural qualities that has received little attention.

The scientists have studied the soil protozoa; in particular, the diversity of amoeboid protists, which play critical roles in soil ecosystems, the turnover of organic matter and energy in soil habitats. Our colleagues, project participants from St Petersburg University, made very interesting discoveries, including the discovery of a new soil amoeba species.”

Alla Lapidus, Study Principal Investigator and Professor, Department of Cytology & Histology, St Petersburg University

In this study, several unique and previously unknown amoeba species were identified, according to Alexey Smirnov, Associate Professor in the Department of Invertebrate Zoology at St Petersburg University.

When examining amoeba from the Chernevaya taiga’s unique and extremely productive soil, scientists discovered a new species of leptomyxid amoeba with an 18s rDNA sequence that differed significantly from that of other known species of the order Leptomyxida.

This species differs from similar species in both morphology and sequencing. It was given the name Leptomyxa silvatica n.sp. after the Latin word silva, which means “forest.” The new species’ full name means “originating from the forest,” indicating that the amoeba was separated from a forest soil environment.

This discovery once again shows how little we know about the whole wide world of microscopic animals. Tens of thousands of heterotrophic protists can be found in a gram of forest soil. They are the most important natural component that regulates the functioning of communities of soil fungi and bacteria. At the morphological level, we know only a small portion of all this diversity.”

Alexey Smirnov, Associate Professor, Department of Invertebrate Zoology, St Petersburg University

Alexey Smirnov added, “Molecular analyses of DNA extracted directly from various types of soils show that «with our own eyes» we could see less than 5% of the organisms that live in soil. Not only individual species, but much of the extant soil biodiversity remains undiscovered. It is for this reason that modern morphological and molecular-genetic research is so important.”

Isolated DNA sequences can be used to identify their ‘owners’ who are literally living under our feet, while making a considerable contribution to the processes occurring in the soils of Chernevaya taiga,” Alexey Smirnov concluded.

The researchers emphasize the importance of doing a further in-depth study on the Chernevaya taiga, particularly to safeguard the soil in the “Siberian jungle.” Experts believe that degrading this one-of-a-kind natural resource would have irreversible negative implications, making restoration of one of the world’s rarest native ecosystems impossible.

Source:
Journal reference:

Glotova, A. A., et al. (2022) Description of Leptomyxa silvatica n. sp. (Amoebozoa, Tubulinea, Leptomyxida), a new soil amoeba species from Chernevaya taiga soil of West Siberia, Russia. Protistology. doi.org/10.21685/1680-0826-2021-15-4-7.

Comments

The opinions expressed here are the views of the writer and do not necessarily reflect the views and opinions of AZoLifeSciences.
Post a new comment
Post

Sign in to keep reading

We're committed to providing free access to quality science. By registering and providing insight into your preferences you're joining a community of over 1m science interested individuals and help us to provide you with insightful content whilst keeping our service free.

or

While we only use edited and approved content for Azthena answers, it may on occasions provide incorrect responses. Please confirm any data provided with the related suppliers or authors. We do not provide medical advice, if you search for medical information you must always consult a medical professional before acting on any information provided.

Your questions, but not your email details will be shared with OpenAI and retained for 30 days in accordance with their privacy principles.

Please do not ask questions that use sensitive or confidential information.

Read the full Terms & Conditions.

You might also like...
Base-Pair Resolution Benchmark Uncovers Structural Variation Complexity in Tomato Genomes