New Protein Found to be Key to Proper Functioning of Acinar Cells

The energy supply in the body has been regulated by the pancreas, located behind the stomach. This mechanism happens by secreting proteins (enzymes) accountable for glucose–the body’s primary fuel–reaching other organs when needed and in the exact amount.

New Protein Found to be Key to Proper Functioning of Acinar Cells
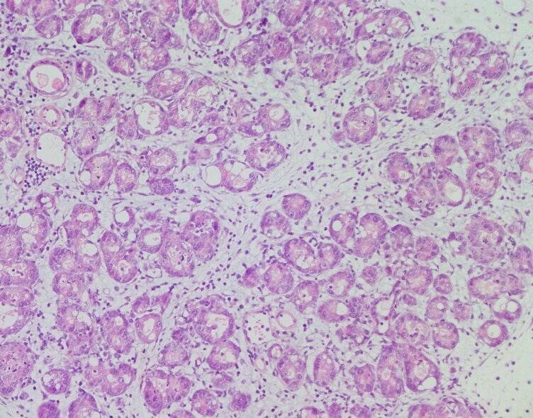
Pancreatic acinar cells, undergoing inflammation. Image Credit Isidoro Cobo. Centro Nacional de Investigaciones Oncológicas.

Such proteins have been produced in the alleged acinar cells, which make up 85% of the pancreas and whose accurate functioning is still under research.

A research group headed by Francisco X. Real, head of the Epithelial Carcinogenesis Group at the National Cancer Research Centre (CNIO), has discovered a new element concerning the functioning of acinar cells and the processes involved in tumor formation in the pancreas. Their work has been reported in the Nature Communications journal, with CNIO scientist Isidoro Cobo as the lead author.

Scientists have found out that a molecule called NFIC is key to the right functioning of acinar cells. This finding will help us to gain better insights into what happens when normal processes end up in failure and cancer or other lesions develop.

Acinar cells are large protein factories. In our lab, we are interested in how they work, because when their function is disturbed, this favors tumor development. The discovery of the role played by NFIC is a further step in the understanding of how cells in the pancreas avoid alternative mechanisms to their normal functioning, which may promote the development of cancer.”

Francisco X. Real, Researcher, Centro Nacional de Investigaciones Oncológicas

So far, it was recognized that NFIC takes place in the formation of teeth and also in the changes that happen at the time of lactation in the mammary glands and that it also limits the activation of a few genes that could result in some breast tumors, but were ignorant that it consisted of a function in the pancreas. This work performed identified its role for acinar cells to function correctly at full capacity.

The most important thing is that NFIC belongs to a family of proteins that had not been involved in the physiology of the pancreas until now.”

Francisco X. Real, Researcher, Centro Nacional de Investigaciones Oncológicas

The publication described that if NFIC has been deactivated, the acinar cells do not mature correctly, and the pancreas could respond poorly to damage and turn out to be more likely to initiate tumor formation.

Pancreatic cancer is known to be the third most fatal type of cancer in Spain (the Spanish Society of Medical Oncology registered over 7,663 deaths in 2021). With a high probability and quick development of metastasis, the usual treatment is surgery.

Source:
Journal reference:

Cobo, I., et al. (2023) NFIC regulates ribosomal biology and ER stress in pancreatic acinar cells and restrains PDAC initiation. Nature Communications. doi.org/10.1038/s41467-023-39291-x.

Comments

The opinions expressed here are the views of the writer and do not necessarily reflect the views and opinions of AZoLifeSciences.
Post a new comment
Post

Sign in to keep reading

We're committed to providing free access to quality science. By registering and providing insight into your preferences you're joining a community of over 1m science interested individuals and help us to provide you with insightful content whilst keeping our service free.

or

While we only use edited and approved content for Azthena answers, it may on occasions provide incorrect responses. Please confirm any data provided with the related suppliers or authors. We do not provide medical advice, if you search for medical information you must always consult a medical professional before acting on any information provided.

Your questions, but not your email details will be shared with OpenAI and retained for 30 days in accordance with their privacy principles.

Please do not ask questions that use sensitive or confidential information.

Read the full Terms & Conditions.

You might also like...
Unraveling the “Dark Energy” Found in the Structural Protein Universe